Wednesday, August 17, 2016

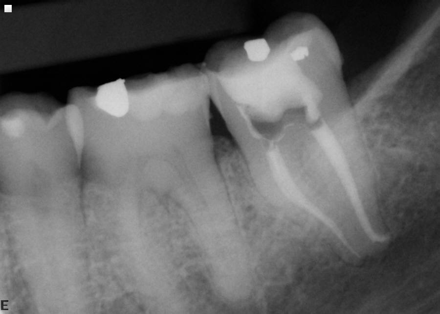
Case 70 Three Definitive Mesial Canals

Pre-Op Xray #30


Post-Op Xray #30 (polarized xray)




Comment: Need I say anything?
Usually a "3rd canal" goes into either the mesial lingual or mesial buccal canals on a lower molar.
Occasionally, there are 3 separate canal systems in the mesial root of lower molars.
If you have properly cleaned the mesial lingual and mesial buccal canals and they are dry,
but there is exudate between the two, it usually means a 3rd canal is present.



Case 69 First Impression Fracture - Wrong!

Pre-Op Xray #4


Post-Op Xray #4




Post-Op Xray #4 (30 months)












Comment: If the periodontal situation is within normal limits, re-treatment may solve what appears to be a tooth that needs to be extracted, fractured??



Tuesday, August 16, 2016

Case 68 Bridge Salvaged

 
Pre-Op Xray #31












Post-Op Xray #31



Post-Op Xray #31 (6 months)













Comment: Extreme bone loss does not necessarily mean tooth loss. Proper root canal therapy can salvage a difficult situation.





Case 67 This Is Why We Re-treat



Pre-Op Xray #19














Post-Op Xray #19



Post-Op Xray #19 (13 months)













 
Comment: If there is any question about restoring a tooth that has less than ideal results, I think a consultation is required. Re-treating a tooth can effectively retain the tooth with complete apical healing.





Case 66 Good Result

Pre-Op Xray #31










                                                       
                                                                               Post-Op Xray #31



Post-Op Xray #31 (8 months)














 
 





Comment: What you want to see, post operatively, in a necrotic tooth with periapical lesions.


Case 65 Tough Anatomy

Pre-Op Xray #17
 


Post-Op Xray #17


Comment: 3rd molars are difficult to treat. Not only because of the problem of actually getting the tooth isolated, but the root structure tends to be unusual ie: curved. This case is a good demonstration of the curvature of tooth #17.


Case 64 Re-treatment

Pre-Op Xray #18












        
               Post-Op Xray #18

 
Post-Op Xray #18 (11 months)













Comment: If a tooth has had a root canal which looks acceptable, yet symptoms remain, one of the options the patient must have is re-treatment. Then if the symptoms dissipate, one can assume that healing has started to occur as this case demonstrates.


Case 63 Excellent Result

Pre-Op Xray #31












 
Post-Op Xray #31

  
Post-Op Xray #31 (7 months)

 
Comment: If a lesion tends to be on the lateral side of a root, there tends to be a lateral canal besides an apical canal.



Case 62 What I Strive For

Pre-Op Xray #18


Post-Op Xray #18






Comment: Even though roots are curved ideal obtruation can be done.


Case 61 Metal Filling

Pre-Op Xray #11




Post-Op Xray #11


Comment:  Metal file used as filling material decades ago, now symptomatic. The file was removed (blackened) and the canal space cleaned to the apex. Gutta percha filling completed and temporary filling placed.  All symptoms disappeared.